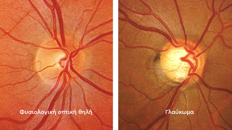
Τι είναι το γλαύκωμα;

Παράγοντες που επηρεάζουν και αιτίες πρόκλησης του γλαυκώματος
Ποιοι είναι οι τύποι του γλαυκώματος;
- Πρωτοπαθές γλαύκωμα ανοικτής γωνίας (συχνότερος τύπος): Είναι ο συνηθέστερος τύπος γλαυκώματος. Οι περισσότεροι άνθρωποι δεν έχουν συμπτώματα γι’ αυτό ο συγκεκριμένος τύπος γλαυκώματος περνάει απαρατήρητος για χρόνια.
- Πρωτοπαθές γλαύκωμα κλειστής γωνίας: Αυτός ο τύπος γλαυκώματος είναι πιο σπάνιος και εμφανίζεται λόγω στενής γωνίας του κερατοειδούς και της ίριδας. Δεν υπάρχει τρόπος διαφυγής του υγρού και ασκείται μεγαλύτερη πίεση στους οφθαλμούς. Ο συγκεκριμένος τύπος γλαυκώματος είναι πιο συνηθισμένος στην Ασία και απαιτεί άμεση ιατρική επίβλεψη.
- Δευτεροπαθές γλαύκωμα ανοικτής ή κλειστής γωνίας: Αυτό συμβαίνει όταν μια άλλη πάθηση, όπως ο καταρράκτης ή ο διαβήτης, προκαλεί πρόσθετη πίεση στο μάτι σας.
- Συγγενές γλαύκωμα: O συγκεκριμένος τύπος γλαυκώματος είναι αρκετά σπάνιος και εμφανίζεται σε μωρά ή παιδιά μικρής ηλικίας.
Ποια είναι τα συμπτώματα του γλαυκώματος;
Οι περισσότεροι ασθενείς, κυρίως με γλαύκωμα ανοιχτής γωνίας δεν έχουν συμπτώματα από τα πρώτα στάδια. Η κύρια ένδειξη συνήθως είναι η απώλεια περιφερικής όρασης. Επειδή όμως η βλάβη είναι μη αναστρέψιμη, η έγκαιρη ανίχνευσή της και θεραπεία είναι υψίστης σημασίας για τον ασθενή, με σκοπό την αποφυγή της τύφλωσης. Τα συνηθέστερα συμπτώματα, σε οποιονδήποτε τύπο γλαυκώματος, είναι:
- Πόνος ή πίεση στα μάτια
- Πονοκέφαλοι
- Χαμηλή όραση, μειωση περιφερικής όρασης ή τυφλά σημεία
- Θολός κερατοειδής στα βρέφη
- Ναυτία και έμετος
Παράγοντες κινδύνου γλαυκώματος
To γλαύκωμα είναι μία πάθηση που μπορεί να επηρεάσει οποιονδήποτε κατά τη διάρκεια της ζωής του. Ο κίνδυνος εμφάνισης γλαυκώματος αυξάνεται όταν ο ασθενής:
- Έχει οικογενειακό ιστορικό γλαυκώματος
- Είναι άνω των 40
- Παίρνει ορισμένα στεροειδή φάρμακα
- Έχει τραυματισμό στο μάτι
- Έχει κερατοειδείς που είναι λεπτότεροι από το φυσιολογικό
- Έχει καρδιαγγειακές παθήσεις όπως πχ διαβήτη
- Έχει αυξημένη ενδοφθάλμια πίεση
Διάγνωση, Τεστ και Θεραπεία
Πώς γίνεται η διάγνωση του γλαυκώματος;
Είναι δύσκολο να καταλάβει κάποιος ότι έχει γλαύκωμα. Χρειάζεται τη βοήθεια του οφθαλμιάτρου με συχνές οφθαλμολογικές εξετάσεις. Οι εξετάσεις μπορούν να αξιολογήσουν την κατάσταση της υγείας των ματιών και αν τυχόν υπάρχει κίνδυνος για απώλεια της όρασης. Οι ανώδυνες εξετάσεις που μπορεί να κάνει ο γιατρός σας για να ελέγξει αν τυχόν έχετε γλαύκωμα είναι:
- Γωνιοσκοπία για εξέταση της γωνίας που βρίσκεται μεταξύ κερατοειδούς και ίριδας.
- Βυθοσκόπηση για εξέταση του οπτικού νεύρου στο πίσω μέρος των ματιών.
- Μέτρηση της ενδοφθάλμιας πίεσης για τη μέτρηση της πίεσης των ματιών.
- Οπτική τομογραφία συνοχής (OCT) για την αναζήτηση αλλαγών στο οπτικό νεύρο που μπορεί να υποδηλώνουν γλαύκωμα
- Παχυμετρία Κερατοειδούς για τη μέτρηση του πάχους του κερατοειδούς.
- Εξέταση του οπτικού πεδίου (περιμετρία) για έλεγχο της περιφερικής όρασης.
- Τεστ οπτικής οξύτητας για έλεγχο απώλειας όρασης.
Πώς αντιμετωπίζεται το γλαύκωμα;
Εάν κάποιος ασθενής διαγνωσθεί με γλαύκωμα και ξεκινήσει την θεραπεία νωρίς μπορεί να επιβραδύνει την απώλεια όρασης του, αλλά δεν μπορεί να ανακτήσει την έως τώρα χαμένη όρασή του. Η επίσκεψη στο γιατρό σας θα βοηθήσει να αντιμετωπίσετε το πρόβλημα καλύτερα, ειδικά αν έχετε κάποια από τα συμπτώματα (έντονους πονοκεφάλους, πόνο στα μάτια κλπ.) Στη θεραπευτική μας φαρέτρα έχουμε:
- Αντιγλαυκωματικά κολλύρια: Οι οφθαλμικές σταγόνες μειώνουν την πίεση στα μάτια και αυτό επιτυγχάνεται είτε μέσω της καλύτερης παροχέτευσης του υδατοειδούς υγρού είτε μέσω μείωσης της παραγωγής του. Επειδή το γλαύκωμα είναι μία δια βίου πάθηση, θα πρέπει ο ασθενής να χρησιμοποιεί καθημερινά σταγόνες.
- Θεραπεία με λέιζερ:Η θεραπεία γίνεται με την χρήση λέιζερ από τον γιατρό σας για να βελτιώσει την παροχέτευση του υδατοειδούς υγρού.Οι ασθενείς μετά τη συγκεκριμένη θεραπεία μπορεί να συνεχίσουν την θεραπεία με οφθαλμικές σταγόνες. Σε κάποιες περιπτώσεις οι θεραπείες με λέιζερ γίνονται παραπάνω από μία φορά.
- Χειρουργική επέμβαση: Η μείωση της πίεσης των ματιών μπορεί να επιτευχθεί και μέσω της χειρουργικής επέμβασης. Είναι μία μέθοδος που είναι πιο επεμβατική σε σχέση με τις άλλες δύο, που προαναφέραμε, αλλά μπορεί να έχει και καλύτερα αποτελέσματα σε σχέση με τον έλεγχο της πίεσης των ματιών. Και αυτή η μέθοδος δεν μπορεί να ανακτήσει την χαμένη όραση του ασθενούς αλλά μπορεί να βοηθήσει στη σημαντική μείωση της ενδοφθάλμιας πίεσης και στην επιβράδυνση της νόσου. Οι δύο μέθοδοι χειρουργικής επέμβασης είναι η Τραμπεκουλεκτομή και η ένθεση βαλβίδας παροχέτευσης.
Συμβουλές για διαβίωση με γλαύκωμα
Οι ασθενείς που θα διαγνωστούν με γλαύκωμα δεν μπορούν να αναστρέψουν αυτή την κατάσταση. Στην περίπτωση που το καταλάβουν νωρίς μπορούν να το μειώσουν τον κίνδυνο βλάβης στα μάτια τους. Το γλαύκωμα είναι μια δια βίου πάθηση. Αν ο ασθενής ακολουθεί τις συμβουλές του γιατρού μπορεί να μειώσει τον κίνδυνο. Παρακάτω είναι κάποιες συμβουλές:
- Να εξετάζετε τα μάτια σας τακτικά. Όσο πιο γρήγορα ο οφθαλμίατρος διαγνώσει την συγκεκριμένη πάθηση τόσο καλύτερα είναι για τον ασθενή, διότι θα ξεκινήσει νωρίτερα η θεραπεία. Συνιστάται όλοι οι ενήλικες να ελέγχονται για γλαύκωμα κάθε 3 με 5 έτη. Οι άνω των 40 ετών, που υπάρχει οικογενειακό ιστορικού της πάθησης, συνιστάται η εξέταση κάθε 1 με 2 χρόνια.
- Προσέξτε την διατροφή σας.Η σωστή και υγιεινή διατροφή, η οποία περιέχει τρόφιμα υψηλά σε αντιοξειδωτικά, έχει αποδειχθεί από μελέτες μπορούν να βοηθήσει την συγκεκριμένη πάθηση.